At What Stage Do Blighted Ovums Usually Miscarry
Olivia Luz

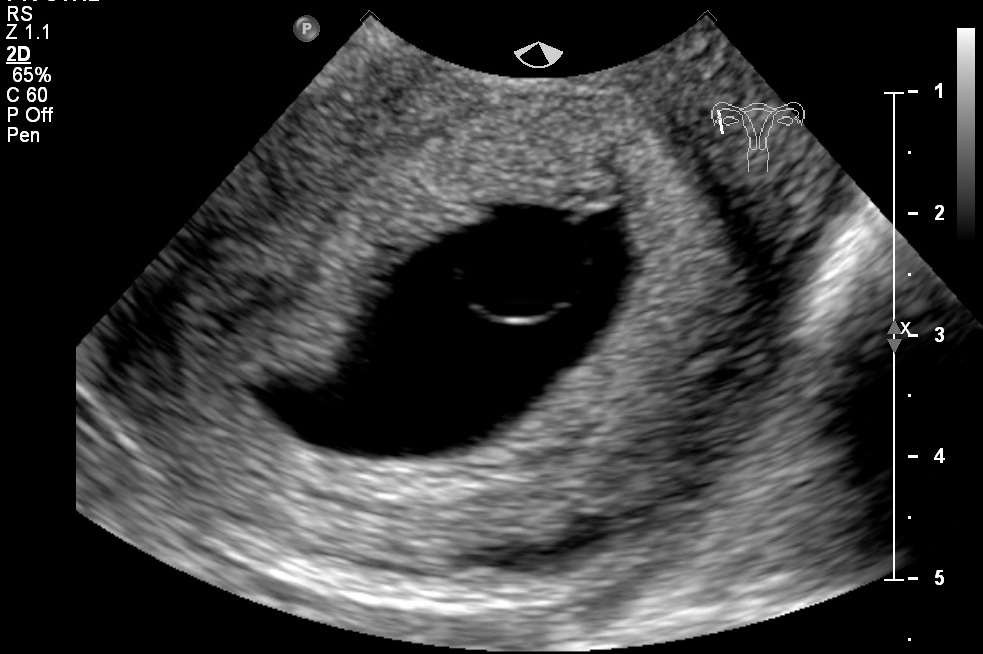
Late blighted ovum missed miscarriage how fast your body deals with the loss.
At what stage do blighted ovums usually miscarry. My first mmc baby stopped growing at 7 5 weeks we found out at 8 5 week appointment it was 4 weeks later we officially miscarried. It means than blighted ovum may appear up to 2 months before miscarriage. They most commonly expel naturally between 7 and 12 weeks.
In the same time blighted ovum is responsible for 50 of miscarriages which occurred in the first trimester. This is usually called a missed miscarriage. A woman s body recognizes abnormal chromosomes in a fetus and naturally does not try to continue the pregnancy because the fetus will not develop into a healthy baby. We found out at 7 weeks that this pregnancy is most likely a blighted ovum.
A blighted ovum causes about one out of two miscarriages in the first trimester of pregnancy. You can take a pill called misoprostol which causes your uterus to clear its contents or have a brief surgical procedure called a dilation and curettage d c. I go for another ultrasound at 8w6d to confirm and then my doctor thinks once i stop my progesterone my body will just do it s thing naturally. If your blighted ovum does not miscarry naturally after a few weeks your doctor may recommend medication or surgery.
RELATED ARTICLE :
- it was exactly what i was looking for
- i just dropped in to see what condition
- jesus jesus oh what a wonderful child lyrics
Some occur as spontaneous losses very early. A miscarriage is when a pregnancy ends on its own within the first 20 weeks. Blighted ovums miscarry at different stages. I am so scared to miscarry at home even though there isn t an actual fetus.
Aug 26 2015 at 8 10 pm. Because it occurs within just a few weeks of ovulation and fertilization many women aren t even aware that they were pregnant in the first place. The latent phase of labor comes before the active labor stage.
Source : pinterest.com













